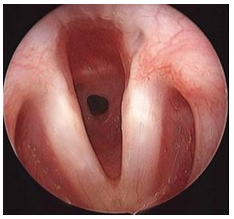
Subglottic and tracheal stenosis are two different terms used to describe a narrowing in the upper airway (trachea or windpipe) or in the area just below the vocal folds. This condition may be either congenital or acquired.Subglottic and Tracheal Stenosis
Subglottic and tracheal stenosis are 2 different terms used to describe a narrowing in the upper airway (windpipe), or in the area just below the vocal cords.
Subglottic and tracheal stenosis are two different terms used to describe a narrowing in the upper airway (trachea or windpipe) or in the area just below the vocal folds. This condition may be either congenital or acquired.Care and Treatment
Providers
Locations
Insurance
This chart is a list of the most common health insurance plans we accept. This list is subject to change. Please check your individual plan to confirm their participation and the coverage allowed.
Due to the different physician groups and hospitals within the Wake Forest Baptist system, physician services and hospital services are billed separately. Please remember that health insurance coverage varies, so some services may not be covered.
If you don’t see your plan or you have questions, please call our Customer Service Center at 877-938-7497. We will do our best to work with you and your plan.
Key
WFUHS - Wake Forest University Health Sciences (professional services)
NCBH - North Carolina Baptist Hospital (Includes Davie)
LMC - Lexington Medical Center
CHC - Cornerstone Healthcare
Wilkes - Wilkes Regional Medical Center
HPR- High Point Regional
N/A - Not applicable to services provided at facility and/or CHC
NC -Not Contracted, very low to no volume for facility and/or CHC
Wake Forest Baptist Health Managed Care/MA Contracts - April 2024
AETNA CONNECTED NC ACA/Exchange: Accepted at all locations
AETNA NC PREFERRED+: Accepted at all locations
AETNA (PPO & HMO): Accepted at all locations
AETNA MEDICARE: Accepted at all locations
AETNA WHOLE HEALTH: Accepted at all locations
ALIGNMENT HEALTHCARE MEDICARE ADVANTAGE: Accepted at all locations
AMBETTER OF NC: Accepted at all locations
AMERIHEALTH CARITAS NEXT ACA/Exchange: Accepted at all locations
BCBSNC (PPO & HMO): Accepted at all locations
BCBS HIGH PERFORMANCE (NATIONAL NETWORK): Accepted at all locations
BLUE LOCAL WITH ATRIUM HEALTH: Accepted at all locations
BLUE MEDICARE: Accepted at all locations
BLUE VALUE: Accepted at all locations
CAROLINA BEHAVIORAL HEALTH: Accepted at WFUHS, NCBH and CHC (not applicable to services provided at LMC, Wilkes and High Point)
CIGNA: Accepted at all locations
CIGNA BEHAVIORAL HEALTH: Accepted at WFUHS, NCBH and High Point (not applicable to services provided at LMC, CHC and Wilkes)
CIGNA HEALTHSPRING MEDICARE ADVANTAGE: Accepted at WFUHS, NCBH, LMC, CHC and High Point (not applicable to services provided at Wilkes)
CIGNA LIFESOURCE (TRANSPLANTS): Accepted at WFUHS and NCBH (not applicable to services provided at LMC, CHC, Wilkes and High Point)
CRESCENT PPO (ASHEVILLE): Accepted at WFUHS and NCBH (not contracted, very low to no volume for LMC, CHC, Wilkes and High Point)
DEVOTED HEALTH (MEDICARE ADVANTAGE): Accepted at all locations
DIRECT NET: Accepted at WFUHS, NCBH, LMC, Wilkes and High Point (not contracted, very low to no volume for CHC)
FIRST HEALTH NETWORK: Accepted at NCBH, LMC, Wilkes and High Point (not contracted, very low to no volume for WFUHS and CHC)
FIRSTCAROLINACARE (PINEHURST, NC): Accepted at NCBH (not contracted, very low to no volume for WFUHS, LMC, CHC, Wilkes and High Point)
GATEWAY HEALTH ALLIANCE (VIRGINIA): Accepted at WFUHS and NCBH (not contracted, very low to no volume for LMC, CHC, Wilkes and High Point)
HEALTHGRAM (formerly PRIMARY PHYSICIAN CARE): Accepted at WFUHS, NCBH and LMC (not contracted, very low to no volume for CHC, Wilkes and High Point)
HEALTHTEAM ADVANTAGE: Accepted at all locations
HUMANA CHOICECARE: Accepted at all locations
HUMANA MEDICARE ADVANTAGE: Accepted at all locations
LIBERTY ADVANTAGE (MEDICARE ADVANTAGE): Accepted at WFUHS and NCBH (not applicable to services provided at LMC, CHC, Wilkes and High Point)
MAGELLAN (BEHAVIORAL HEALTH): Accepted at WFUHS, NCBH and CHC (not applicable to services provided at LMC, Wilkes and High Point)
MEDCOST: Accepted at all locations
MEDCOST ULTRA: Accepted at WFUHS, NCBH, LMC, Wilkes and High Point (not applicable at CHC)
PHCS/MULTIPLAN: Accepted at NCBH, CHC, LMC and High Point (not contracted, very low to no volume for WFUHS and Wilkes)
OPTUMHEALTH (TRANSPLANTS - APPLICABLE TO NCBH/WFUHS ONLY): Accepted at WFUHS and NCBH (not applicable to services provided at LMC, CHC, Wilkes and High Point)
PREFERRED CARE OF VA INC: Accepted at WFUHS and NCBH (not contracted, very low to no volume for LMC, CHC, Wilkes and High Point)
SOUTHERN HEALTH SVCS (COVENTRY-PPO ONLY): Accepted at WFUHS, NCBH and CHC (not contracted, very low to no volume for LMC, Wilkes and High Point)
TWIN COUNTY (VIRGINIA): Accepted at WFUHS and NCBH (not contracted, very low to no volume for LMC, CHC, Wilkes and High Point)
UNITED BEHAVIORAL HEALTH: Accepted at WFUHS, NCBH, CHC and High Point (not applicable to services provided at LMC and Wilkes)
UNITED BEHAVIORAL HEALTH INTENSIVE OUTPATIENT PROGRAM (WFUHS ONLY): Accepted at WFUHS (not applicable for services provided at NCBH, LMC, CHC, Wilkes and High Point)
UNITED HEALTHCARE: Accepted at all locations
UNITED HEALTHCARE ESSENTIALS ACA/EXCHANGE: Accepted at all locations
UNITED HEALTHCARE MEDICARE: Accepted at all locations
VA CCN: Accepted at all locations
WELLCARE (MEDICARE ADVANTAGE): Accepted at all locations
LMC ONLY: Contracts specific to support Lexington employer groups, low volume
NATIONAL PROVIDER NETWORK/MEDICAL RESOURCES
CHC ONLY: Contracts specific to support CHC
TRICARE
Key
WFUHS - Wake Forest University Health Sciences (professional services)
NCBH - North Carolina Baptist Hospital (Includes Davie)
LMC - Lexington Medical Center
CHC - Cornerstone Healthcare
Wilkes - Wilkes Regional Medical Center
HPR- High Point Regional
N/A - Not applicable to services provided at facility and/or CHC
NC - Not Contracted, very low to no volume for facility and/or CHC
Referring Physicians
At Atrium Health Wake Forest Baptist, we understand the importance of referrals. Our physician liaisons partner with referring physicians in our community and beyond to provide information on our physicians and clinical services. Full list of new physicians.