Esophageal dilation is a surgical procedure to improve swallowing function. Sometimes patients may have tightness or narrowing at the top muscle of the esophagus, the swallowing tube that goes to the stomach, that makes it difficult to swallow. An esophageal dilation is a procedure to stretch the muscle at the top of the esophagus (cricopharyngeus). Depending on your risk factors for anesthesia, this can be performed either under general anesthesia or sedation. Patients with Zenker’s Diverticulum or Cricopharyngeal Dysfunction may be recommended to have an esophageal dilation by their provider.
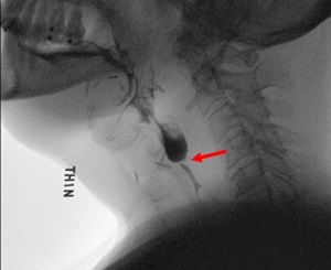
Depending on anesthesia level and other patient factors, the surgeon may perform the dilation in different ways. These include using instruments inserted through the mouth or nose, and using different dilators such as tapered cylindrical dilators or small balloons (see pictures below). The procedure usually takes about thirty minutes, and the most common side effect is a mild sore throat after surgery. Rare, though potentially serious complications include causing a small hole in the esophagus.
It's important to know that for most patients, dilations are a temporary procedure. Depending on the severity of your swallowing problem, you many need to return for multiple dilations. You may also need to continue to get dilations (e.g. once a year) to maintain your swallowing function.
| Esophageal Dilation Tools | Example of Esophageal Dilation | |
|---|---|---|
![]() |
![]() |
|
| Before Esophageal Dilation Example | After Esophageal Dilation Example |
|---|---|
![]() |
![]() |



