
Around 15,000 steps a day. That’s what 64-year-old Cynthia West of Mocksville typically logs with her little Cavachon pup Grady.
“We just walk until we get tired,” she says.
For a time, Cynthia wasn’t sure she would be able to continue the activities that she loves. A sprained knee during four-wheeler playtime with her granddaughter eventually led to a popping feeling in her hip — and then severely limited mobility.
“I was having trouble doing the simplest things, like tying my shoes,” Cynthia says. “But I’m not the kind of person to rush to the doctor, so the popping and pain continued for several months.”
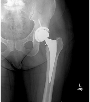
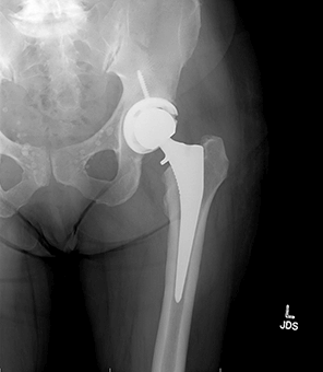
Cynthia’s daughter works in the health care field and encouraged her to get an X-ray of her hip. The imaging revealed severe arthritis with bone-on-bone grinding caused by the wearing away of the cartilage in her hip joint. Cynthia also had bone spurs, which commonly develop when the cartilage “cushioning” wears away.
She needed a total replacement of the left hip.
Right away, Cynthia was referred to orthopaedic surgeon Dr. John Shields at Atrium Health Wake Forest Baptist Orthopaedics - Davie. Shields specializes in adult joint reconstruction and performs about 500 hip and knee replacements annually; Orthopaedics - Davie performs as many as 2,300 a year.
Shields says that hip arthritis can cause patients to feel pain radiating to their knees.
“We see a lot of patients who come to us because of knee pain, but it often turns out the knee is normal, and the pain is actually coming from the hip,” Shields says.
“The majority of the hips we replace have bone-on-bone arthritis, which can be debilitating and life-altering. Cynthia’s case is very much representative of our standard patient.”
The Right Team
Cynthia had surgery on December 11, 2023. She arrived early in the morning, was back home by lunchtime and was pain-free two days later.
“And I’ve been walking ever since,” she says.
Shields says this is common.
“In the right hands and with the right team, patients do very well,” he says. “Hip and knee replacements are a very efficient and streamlined operation here, and we have an amazing, cohesive multidisciplinary team — from the nurses and scrubs to the nurse navigators to the physical therapists and beyond.”
During the surgery, Shields accessed Cynthia’s hip joint from the back of the leg, which is known as a minimally invasive posterior approach. It is traditionally the most common way to perform a hip replacement, in which damaged sections of the hip are replaced with artificial ball and socket components.
The surgery generally takes Shields less than an hour to perform, and the results typically lead to a vastly improved quality of life for patients.
“The goal of the operation is to get the patient back to their normal activities, whether that’s daily walks, gardening, rock climbing or skiing,” he says. “And we usually can — hip replacements are minimally invasive, pain is well-controlled, blood loss is minimal and the surgery is usually easy to bounce back from.”

“We’re also seeing younger and younger patients getting joint replacements due to the advancements in technology and techniques,” Shields says.
Shields cites the obesity epidemic in the U.S. as another reason for the uptick in joint replacements: more weight on the frame means more wear on the joints.
Post-procedure Expectations
The goal of a hip replacement is for patients to one day forget they ever had one. And when post-operative protocol is closely followed, they often do.
Cynthia was a stickler for following at-home physical therapy instructions, which advised doing the rehabilitation exercises three times a day.
“I actually did them every hour,” she says.
Patients generally use a walker for a few days, and then a cane for a few days, and soon they’re getting back to their normal activities.
Shields remembers one of his first-ever patients having a double hip replacement. Months later, a postcard came in the mail from Italy. It read, “I’m mountain-climbing all over Italy, and my hips let me do this. Thank you so much.”
That cemented it for Shields: He had chosen the right line of work.
“It really hit home that we do this work because it gets people back to doing all the things they have wanted to do but couldn’t,” he says.
Patients often tell Shields that surgery and recovery was so easy that they wish they had had their surgery years ago.
“People are nervous about having surgery, so they put it off longer,” Shields says. “But in doing that, they lose out on so much of life. When they finally tire of debilitating pain and move forward with the surgery, they do great and wish they had done it sooner.”
Shields says he gets a lot of the same questions from patients before surgery.
They ask if they will face any limitations afterward. No, he tells them.
Will they set off metal detectors at the airport? Yes, Shields answers.
Will they gain weight with the artificial replacement parts? Not really, Shields says with a chuckle and then adds, “Well, maybe a pound — the parts are really lightweight.”
Walking Miracle
Shields encourages patients to seek out a surgeon whose goals and philosophy align with their own.
“A good relationship is one critical component of good outcomes,” he says.
Cynthia was drawn to Shields because of his bedside manner and communication style. She also appreciated the ease with which she was able to communicate with the entire orthopaedic staff.
She knows several people who have said they need hip replacements and for each person, she has one bit of advice: Get it done.
“It was a game-changer for me,” she tells them, adding, “I am a walking miracle.”
And with that, she laces up her walking shoes and heads outside with Grady.
Learn more about expert hip or knee replacements at Atrium Health Wake Forest Baptist.